Casos Reales


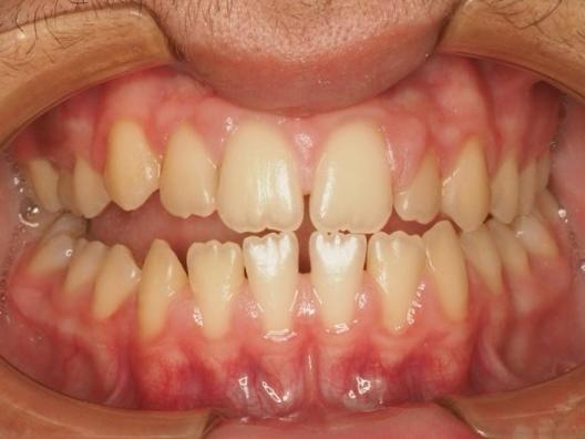
Antes
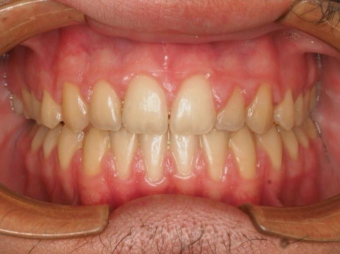
Después
Ortodoncia en paciente adolescente tratado con MARPE (técnica de ortodoncia avanzada para expandir el paladar superior en adolescentes y adultos, usando mini-implantes como anclaje óseo & brackets metálicos 18 meses.


Antes
Después
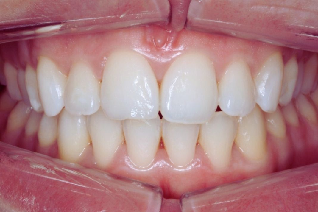
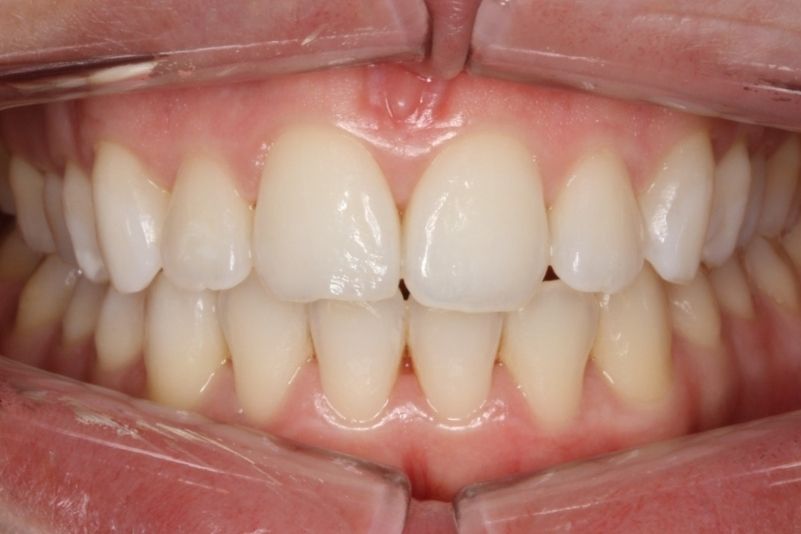
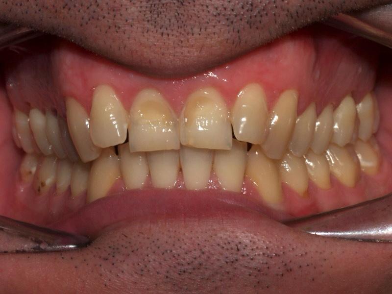
Caso de Blanqueamiento Dental


Antes
Después
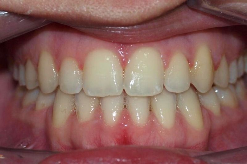
Caso de Blanqueamiento Dental


Antes
Después
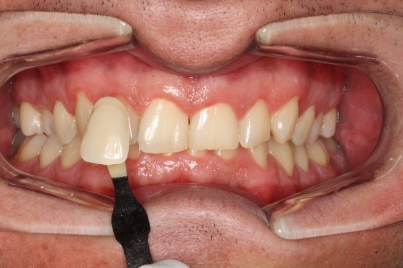
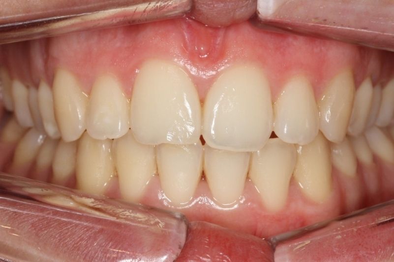
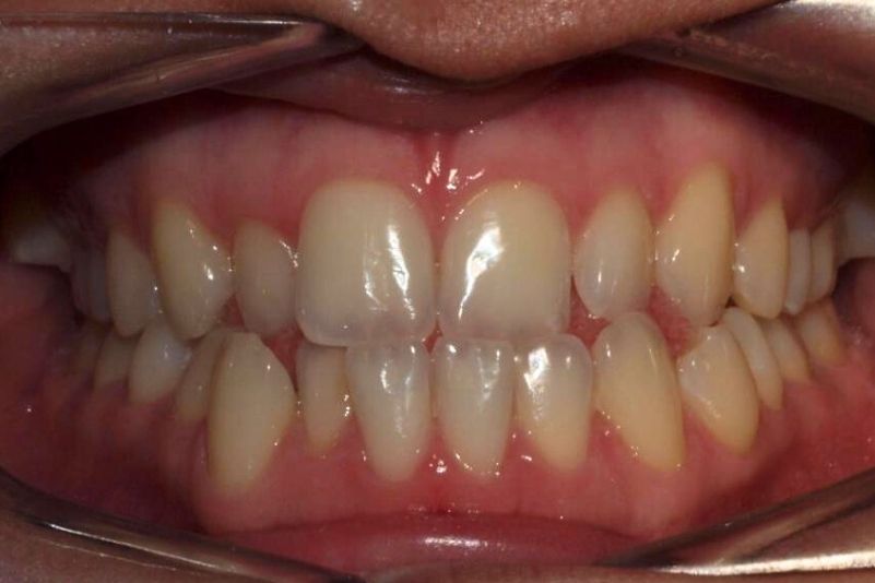
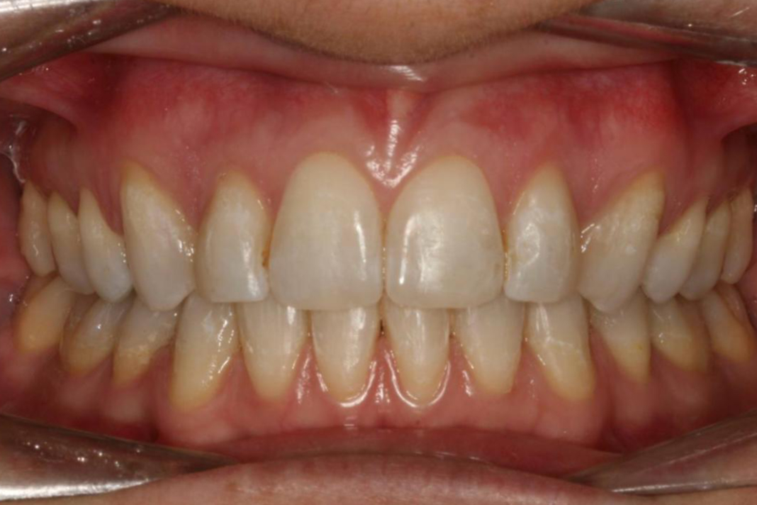
Caso de camuflaje Ortodóncico. Adulto 30 años Clase III esquelética quirúrgica que rechaza el tratamiento de cirugía Ortognátic.Tratamiento de Ortodoncia tratado con brackets metálicos y extracciones de 34-44.Duración 24 meses.


Antes
Después
Paciente Infantil. Tratado con una 1ª fase disyunción & logopeda por interposición lingual y una 2ª de brackets & alineadores transparentes


Antes
Después